Invisalign at a glance
Invisalign Glance

A beautiful smile is a powerful thing. It can change your outlook, help you overcome inhibitions and give you greater confidence – in both your professional life and when you are out socialising.

With Invisalign, you can achieve this smile without using traditional fixed braces. If you've ever thought about improving your smile, Invisalign could be the clear way forward.

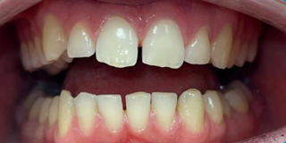
Invisalign Patients treated by Dr Emma
Case 1
before
Invisalign Case
after
Invisalign Case
Case 2
before
Invisalign Case
after
Invisalign Case
Case 3
before
Invisalign Case
after
Invisalign Case
Case 4
before
Invisalign Case
after
Invisalign Case
Case 5
before
Invisalign Case
after
Invisalign Case
Case 6
before
Invisalign Case
after
Invisalign Case
Case 7
before
Invisalign Case
after
Invisalign Case
Case 8
before
Invisalign Case
after
Invisalign Case
Case 9
before
Invisalign Case
after
Invisalign Case
Case 10
before
Invisalign Case
after
Invisalign Case
Case 11
before
Invisalign Case
after
Invisalign Case
Case 1
before after
Case 2
before after
Case 3
before after
Case 4
before after
Case 5
before after
Case 6
before after
Case 7
before after
Case 8
before after
Invisalign at a glance

A beautiful smile is a powerful thing. It can change your outlook, help you overcome inhibitions and give you greater confidence – in both your professional life and when you are out socialising.With Invisalign, you can achieve this smile without using traditional fixed braces. If you've ever thought about improving your smile, Invisalign could be the clear way forward.

What is Invisalign?

Developed by Align Technology together with leading orthodontists in 1997, Invisalign straightens your teeth using a series of custom-made clear aligners. Comfortable, clear and removable – Invisalign transforms your smile without disrupting your life. Something that over 8 million people worldwide have already discovered

What is Invisalign?
step 1

You will be invited to attend a Smile Consultation with our Principal Dentist, Emma Davison. During this appointment we will take photos of your smile, and use our iTero scanner to scan your teeth too, we can then show you a computer generated image of your teeth post-treatment!

step 2

Following this consultation, we use the iTero scan to send off for your Clincheck. This will create a bespoke plan for your treatment, and will tell us exactly how long treatment will be, and what your results will be at the end!

step 3

We’ll give you a series of aligners to wear every day and change at home – on average every 1-2 weeks (as directed by your Dentist). You can comfortably wear your aligners for 22 hours a day (the recommended daily wear). And because they’re removable, it’s easy to maintain your normal oral hygiene routine and enjoy your usual diet.

step 4

We’ll invite you back to the practice around every 4-6 weeks to monitor progress and hand over your new aligners. At the end of your treatment, you will need to wear your retainers to maintain your new smile.

Holistic Dental Centre
How does Invisalign work?

It takes approximately between 4 and 18 months to create a new smile using Invisalign. Getting there takes just four simple steps:

1. You meet with an Invisalign Provider for a consultation about your treatment., based on your treatment plan and your dental records, a virtual 3D treatment plan is generated that shows you the expected movement of your teeth from their current position to the desired final position.

2. Once you and your Invisalign Provider have approved the treatment plan, the aligners are custom-made to fit your teeth. The number of aligners varies for each person.

3. You wear your aligners about 20 to 22 hours every day, except to eat, brush, and floss, or for a specific occasion.

4. Every two weeks, you switch to a new set of aligners. The aligners will gradually move your teeth towards their final prescribed position.

<
>
Crossbite
Crossbite Crossbite Crossbite Crossbite Crossbite Crossbite Crossbite Crossbite Crossbite Crossbite Crossbite Crossbite Crossbite Crossbite Crossbite Crossbite Crossbite Crossbite Crossbite Crossbite Crossbite Crossbite Crossbite Crossbite Crossbite Crossbite
Week 1
Crowding
Crowding Crowding Crowding Crowding Crowding Crowding Crowding Crowding Crowding Crowding Crowding Crowding Crowding Crowding Crowding Crowding Crowding Crowding Crowding Crowding Crowding Crowding Crowding
Week 1
Deep bite
Deep bite Deep bite Deep bite Deep bite Deep bite Deep bite Deep bite Deep bite Deep bite Deep bite Deep bite Deep bite Deep bite Deep bite Deep bite Deep bite Deep bite Deep bite Deep bite Deep bite Deep bite Deep bite Deep bite Deep bite Deep bite Deep bite Deep bite Deep bite Deep bite Deep bite Deep bite Deep bite
Week 1
Gapped teeth
Gapped teeth Gapped teeth Gapped teeth Gapped teeth Gapped teeth Gapped teeth Gapped teeth Gapped teeth Gapped teeth Gapped teeth Gapped teeth Gapped teeth Gapped teeth Gapped teeth Gapped teeth Gapped teeth Gapped teeth Gapped teeth Gapped teeth
Week 1
Open bite
Open bite Open bite Open bite Open bite Open bite Open bite Open bite Open bite Open bite Open bite Open bite Open bite Open bite Open bite Open bite Open bite Open bite Open bite Open bite Open bite Open bite Open bite Open bite Open bite Open bite Open bite Open bite Open bite Open bite Open bite
Week 1
Underbite
Underbite Underbite Underbite Underbite Underbite Underbite Underbite Underbite Underbite Underbite Underbite Underbite Underbite Underbite Underbite Underbite Underbite Underbite Underbite Underbite Underbite Underbite Underbite Underbite Underbite Underbite Underbite Underbite Underbite Underbite Underbite Underbite Underbite Underbite Underbite Underbite Underbite
Week 1
The Invisalign Journey

“The wonderful team at the Holistic Dental Centre go above and beyond to provide a fantastic service and are incredibly friendly. I recently completed my Invisalign which was a complete success and I am now really happy that they are completely straight.”

Tom Clough, as seen on Google Reviews

The benefits of Invisalign

Custom-made to fit your teeth and your lifestyle, Invisalign offers many benefits beyond your brand-new smile:

  • Nearly-invisible aligners mean hardly anyone will notice that you are straightening your teeth.
  • The removable aligners allow you to maintain your dental hygiene, brushing and flossing as usual.
Invisalign
  • You can also remove the aligners briefly to eat, drink or for special occasions.
  • Even before you start treatment you'll know how long your treatment may take and what your teeth are expected to look like at the end.
Invisalign
cost

If you have questions about the cost of Invisalign treatment at our Farnham dental practice, please book a consultation. We can go through all of your questions and concerns.

Price Guide
Our Prices
include

Everything you need for a straighter smile. Speak to our friendly team about the Invisalign packages we provide to our patients to find out more.

View More
Preview your
smile

Learn more about the incredible technology we use at Holistic Dental Centre for your Invisalign treatment. Including the ability to preview your new smile.

Take a selfie
0% Finance
Available

We know that spreading the cost of your Invisalign treatment could be essential. Book a consultation to find out more about the payment options available.

View More

Contact Us

Fields with (*) are required.
Please contact us via this website or email without disclosing confidential information.

What Treatment Are You Interested In?

How to Find Us
Contact Information
Holistic Dental Centre

5 Hart House, The Hart
Farnham, Surrey GU9 7HJ

Call us today: 01252 820004

Email us: info@holisticdentalcentre.co.uk

Opening Hours
Monday 8:30 am to 5:30 pm
Tuesday 7:00 am to 5:30 pm
Wednesday 8:30 am to 5:30 pm
Thursday 7:00 am to 5:30 pm
Friday 8:30 am to 5:30 pm
Saturday 8:30 am to 3:00 pm
Holistic Dental Centre